Dental Implants
Missing teeth can make simple tasks such as eating and speaking difficult.
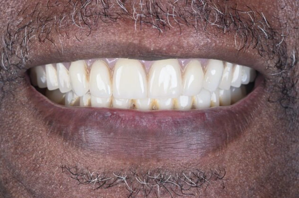
Dental implants paired with a custom restoration replace missing teeth and provide numerous benefits.
Learn more about how our dentists at Triad Cosmetic Dentistry in Archdale, NC, can use dental implants to restore your smile.
Achieve Your Best Smile With Dental Implants At Our Welcoming Practice in Archdale, NC
Missing even one of your natural teeth can drastically affect your daily life, oral health, and confidence in your appearance.
If you’re tired of living with gaps in your smile, the dental professionals at Triad Cosmetic Dentistry are here to help.
Our Archdale, NC, practice offers dental implants, the number-one restorative solution for tooth loss. Implants can replace any number of missing teeth to create a smile that's fully functional and looks naturally beautiful.

How Do Dental Implants Work?
Dental implants are the preferred tooth replacement treatment for a reason—they are the only option that can replace teeth from root to crown and prevent jawbone deterioration.
Implants are typically made from titanium or zirconia. They are embedded directly into the jawbone, becoming permanently fused over the course of three to six months. At that point, they're ready to provide excellent support for crowns, bridges, or dentures.
Each dental implant is made up of three parts:
The Implant: These titanium or zirconia devices serve as your new tooth roots and are permanently attached to your jawbone.
The Abutment: Abutments are connectors that secure your implants to your restorations.
The Custom Restoration: Restorations are fixed to abutments. They sit above the gumline and act as replacement teeth.
Our Implant Success Rate Is Higher Than the Dental Industry Standard
Here at Triad Cosmetic Dentistry in Archdale, we’ve achieved a 98% success rate through more than 1,200 dental implant placements. This surpasses the industry standard of 95%. We love restoring smiles with our high-quality dental implant solutions, and we’re always eager to work with patients to cater to their individual goals.
"This is the place to go for all your dental needs."

Just One of More Than 600 Excellent Patient Reviews
Enjoy a Complete Smile Again Request a Free Consultation

At Triad Cosmetic Dentistry, our team goes above and beyond to make sure you achieve the smile of your dreams. If you’re looking for custom dental implants in the Archdale, Greensboro, High Point, and Winston-Salem areas, we’ve got you covered! Our dentists are known for their skill in implant dentistry and even offer free second opinions so patients throughout the Triad can rest assured they're receiving the best care possible.
Our combined skills, knowledge, and commitment shine through in our work, which is why so many patients visit Triad Cosmetic Dentistry for their restorative treatments.
Am I a Candidate for Dental Implants?
Are missing one or more teeth
Implants are designed to replace missing tooth roots and support replacement teeth. This solution can be used to replace a single lost tooth or an entire dental arch.
Are in good oral health
You must be free from oral health issues such as tooth decay or gum disease. This is to ensure a healthy foundation for your restoration. We can resolve these issues before moving forward with implants.
Do not use tobacco products
Tobacco usage has been linked to numerous oral and overall health issues. It has also been linked to an increased risk of implant failure. It is best to cease use of all tobacco products before dental implant placement.
Have sufficient jawbone density
Implants require a certain amount of jawbone tissue for support. If you suffer from jawbone deterioration, you may not initially qualify for dental implants. We can restore lost jawbone tissue with a bone grafting procedure.
Insurance and Financing For Dental Implants
It's important to know that most dental insurance providers will cover implant-supported restorations (the part above the gumline), but few will cover the implants themselves or the abutment piece. We accept most forms of dental insurance, and we'll be glad to file a claim on your behalf. We also accept financing through CareCredit® and LendingClub® so you can make affordable, low-interest payments.
Frequently Asked Questions About Dental Implants
Q. Does dental implant placement hurt?
A. No. Before your dentist begins treatment at our Archdale practice, they will thoroughly numb the area to ensure you feel no pain during your treatment. There may be some mild discomfort as you heal, but it can be easily managed at home with over-the-counter pain medications, ice, and a soft diet.
Q. How long do dental implants last?
A. Dental implants are made of durable titanium, and can last 40 years or longer with proper care. However, the porcelain restoration will wear over time and eventually need to be replaced.
Q. How much will my dental implants cost?
This will vary based on several factors such as the number of dental implants needed, the type of restoration you require, and the need for any preparatory treatment. Basic dental insurance does not cover implants, but most plans contribute to the cost of restorations and preparatory treatments. During your initial consultation at our practice, your dentist will develop a custom treatment plan to address your specific needs. We can then provide an accurate quote and verify any insurance coverages so you can budget for your treatment. We welcome patients from Greensboro and throughout Greater Archdale, NC.
Have more questions about dental implants?








