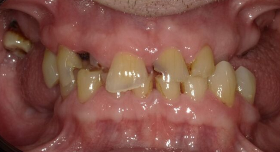
Dental Implants Cost
If you’re looking to replace missing teeth with dental implants, you probably have some questions when it comes to cost.
At Triad Cosmetic Dentistry, we develop customized treatment plans for patients.
Learn more about what will contribute to your dental implant cost at our practice in Archdale, NC.
Discover the Difference Dental Implants Can Make
Payment Options What You Should Know
Our dental team believes that financial hurdles shouldn’t stand in the way of getting the restorative care you need. That’s why we offer several payment options that make treatment as accessible as possible.
Most Insurances Accepted
While we work with most major carriers, most insurance plans do not cover the cost of dental implants. However, implant-supported restorations may be included in your benefits. Our team will help you maximize the coverage available to you.
Financing Options
We accept financing through CareCredit® and LendingClub; third-party lenders that let you break down the cost of preparatory dental work, implants, and restorations into manageable monthly installments with little to no interest.
If you’re ready to get started, request a free consultation at
our dental office in Archdale, NC, today.
What Patients Are Saying About Our Archdale, NC, Dentistry Practice
Have nothing negative to say about this dentist office...... friendly people and good service
View on Google
Always great care and wonderful people. Highly recommend!



