
TREATING PERIODONTAL DISEASE
THE IMPORTANCE OF
Brushing & Flossing
At Triad Cosmetic Dentistry, we want our patients to maintain good oral health through proper home care with consistent flossing and thorough brushing. By doing so, patients are able to remove unwanted plaque below the gum line that can help prevent infection or gum disease.

WHAT IS Periodontal Disease?
Periodontal disease, also known as gum disease, is a bacterial infection of the gums and bone that support the teeth. The main cause of periodontal disease is bacterial plaque– a sticky, colorless microbial film that forms on your teeth.
When plaque isn’t removed every day by brushing and flossing, it attaches to your teeth as a rough, porous substance known as tartar. Toxins produced by the bacteria in plaque then irritate the gums, leading to infection, and in more severe cases, tooth loss.
Known as the primary cause of tooth loss in American adults, gum disease may first be recognized through red, swollen, or bleeding gums, chronic bad breath, sensitive teeth, or loose teeth. By ensuring you brush and floss twice a day, visiting our office biannually, eating a well-balanced diet, and limiting tobacco intake, you’ll be able to help protect your smile from further complications.

What To Look Out For
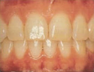
Healthy Gums

- Gums are a healthy pink color
- Gum line hugs teeth tightly
- No bleeding when brushing or flossing
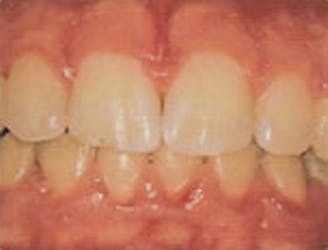
Gingivitis

- Gums bleed easily when you brush or when probed gently during an examination
- Gums are inflamed and sensitive to touch
- Possible bad breath and taste
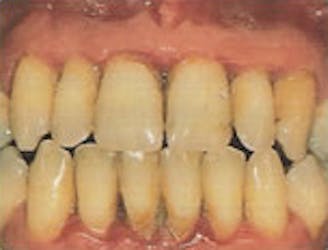
Periodontitis

- Gum boils or abscesses may develop
- Teeth look longer as gums begin to recede
- Front teeth may begin to drift, showing spaces
- Constant bad breath and bad taste
- Both horizontal and angular bone loss on x-ray
- Pockets between teeth and gums range from 4-6mm deep
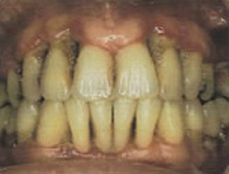
Advanced Periodontitis

- Teeth may become mobile or loose
- Constant bad breath and bad taste
- Roots may be exposed and teeth are sensitive to hot and cold
- Severe horizontal and angular bone loss on x-ray
- Pockets between teeth and gums are 6mm or deeper
HOW WE TREAT Periodontal Disease
Once you’ve been diagnosed with gum disease by one of our dental hygienists, our dentists will perform a thorough exam on your gums, check for any loose teeth, and use a probe to identify any infected pockets. Depending on the severity of your disease, we will recommend one of our highly-effective treatments.
Scaling and Root Planing
One treatment that is highly effective against gum disease is scaling and root planing, also known as deep cleanings. Scaling and root planing can be completed at one of your regular dental checkups and will provide you with a healthy, clean surface in just one appointment.
Surgical Treatments
We offer various procedures to help restore the health of your infected gums. Depending on your distinct case, your surgery may include pocket depth reduction, regeneration, or soft-tissue grafts.
DON’T PUT YOUR
Health at Risk
Recent studies show that an estimated one out of every two American adults over 30 years old have periodontal disease. The risk of the disease has also been found to be associated with many other health problems. If you ignore the condition of your oral health, you may be more prone to systemic diseases such as:
- Type 2 diabetes
- Heart disease
- Respiratory disease
- Blood clots and strokes
- Pre-term and low birth weight babies
- Alzheimer’s disease

Frequently Asked Questions
What does periodontal treatment involve?
Periodontal treatment involves cleaning your teeth and gums of bacteria thoroughly. Periodontal disease is an infection below your gum line, an area that’s hard to reach on your own. A professional can perform what’s called a deep cleaning to get to these areas.
A deep cleaning, also known as scaling and root planing, cleans the bacteria and hardened plaque from your mouth, then smoothing your tooth roots so they’re less likely to attract bacteria in the future. Deep cleaning can give your gums a chance to recover from the disease.
Can periodontitis be cured?
Yes, periodontitis can be cured with professional treatment and a thorough oral hygiene regimen. The earliest stage of periodontal disease, gingivitis, often doesn’t require professional treatment and can be reversed with increased oral hygiene practices at home.
Periodontal disease does require treatment in a dental office, though. As long as the disease hasn’t progressed too far, we can thoroughly clean your teeth and gums, giving you a chance to reverse some of the damage that’s been done.
Can I save my teeth with periodontal disease?
Yes, teeth can often be saved if you have periodontal disease. If you act quickly to get treatment and keep up good oral hygiene after your deep cleaning, you’ll likely be able to keep your teeth. If you go without treatment until the condition becomes severe, your teeth may be at risk.
Your dentist will go over your options with you if your teeth are too far gone or if you’ve already lost a tooth. Depending on your condition, you may be eligible for dental implants or other tooth replacement options.
What are the four stages of periodontal disease?
The four stages of periodontal disease are:
- Gingivitis – This stage of gum disease is the easiest to reverse and often doesn’t require professional help. If your gums bleed and it’s painful when you brush or floss, you likely have some form of gum disease.
- Early Periodontitis – If you don’t manage to reverse your gingivitis, it can progress to begin attacking the structures of your teeth. This can lead to bone loss and serious complications if you don’t seek treatment.
- Moderate Periodontitis – At this stage, you’ll be experiencing bone loss and your tooth roots can become exposed. You may feel pain due to this, and healing becomes much more difficult.
- Advanced Periodontitis – The final stage of gum disease includes severe bone loss, your tooth roots will be under attack, and you may even notice your teeth loosening. You may still be able to save your teeth, but it’s imperative that you contact your dentist for treatment.

